A journey of 7.000 kilometres
Once in a lifetime
by M. Halit Umar
This is the fourth of a series of articles by the author with the theme that 'life is a continuous interaction between organisms'.
(Read parts one, two and three.)
.
I have wanted to visit Scandinavia for over thirty years. In particular, I wanted to drive past the forests, lakes, fjords and high mountains into the far north to finally reach the end of Europe. Years passed but my longings remained unfulfilled. Nowadays I like to travel by bus, ship or airplane but not by driving a car! This may be one of the signs of growing old!
At last, my dream became a reality with a daring undertaking, a journey of 7.000 km to the North Cape and back lasting 15 days. We departed from Rotterdam, traveled first to the Travemünde in Germany from where we embarked on the ferryboat to cross the sea and arrived in Trelleborg, Sweden. Our Scandinavian route is shown in the chart below:

.
We traveled to Lund, a small university city where my daughter Arzu lived for some months during her biology course. How nice it was to remember a short bus trip to Malmö we took with her a few years ago, and our overwhelming experience (especially hers) of a partial solar eclipse. During a short stop near Lund, still remembering this event, I took the following picture of lupins for their vivid pink to purple colours. And I thought that we have to thank the sun which provides the light for such vibrant colours.
.
A bridge connects Sweden to Norway and like many travelers, I also walked on the bridge and crossed the virtual border.
.
This was the first real view of a fjord.
.
Oslo, capital of Norway, is a very large city and has an impressive park with an exquisite design. I have found the sculptures of a 'man playing with a child' and 'women caring for children' very meaningful. Was this kind of human affection not a good example for my mantra 'life is a continuous interaction between organisms' ?
.
.
And water was at the very center of life.
.
And water transformed to snow and ice as we headed towards the North; trees became scarce, tiny, shorter and leafless in this harsh environment.
.
This was the 'Arctic tundra' with low plants, shrubs and many lichens.
.
Then, on the fifth day of our trip we eventually crossed the Arctic Circle
.
In this barren and frozen land, there is a respected custom held by Sami people; if you wish to come again to any particular place, you have to put a stone on a larger one to be able to see it when snow covers everything.
.
One may rightly ask the question how is it possible that so many lichens can live in such an environment characterized mainly by ice and stones? Well, lichens are made of microscopic fungi in symbiosis with microscopic algae. The interaction makes them capable of surviving in harsh Arctic conditions as well as Antarctic locations.
A stone covered by dark green coloured lichens.
.
By chance, you may find macro fungi such as this brown, polyporous one, growing on a fallen tree .
.
But the majority of fungal growth is in the form of lichens.
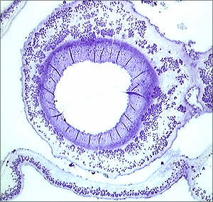
I just took a few sample of lichens from a tree trunk and a stone to study them microscopically. The following images were taken of these tube-like lichens when I returned home. The next image is the cross section of the basal part showing an oval lumen.
.
ŠUMAR.
This is the apical, cup-shaped or trumpet-like part of the same specimen.
ŠUMAR.
Dark blue round to elongated elements are of fungal cells and hyphae, and rather large, round and greenish coloured structures are of algae spread in the body of this lichen.
ŠUMAR.
The lower surface of lichens may be pigmented. These pigments have long been used as natural dyes. The following image shows a pigmented (darkly stained) cortical surface and a band-like collection of algae at the lower site. Algal cells contain chlorophyll to catch the sunlight and to perform photosynthesis using CO2 and water. Fungal cells provide the housing for algae and receive foodstuff in return from the algae.
ŠUMAR.
ŠUMARFungi in lichens belong almost exclusively to the Ascomycetes. They form asci, which are specialized cells producing their spores, and also cup shaped structures.
ŠUMAR.
ŠUMARAlgae as symbiont in lichen, and thread-like hyphae of the fungus.
.
ŠUMARThe relatively thick wall of the lichen may give rise to new lichen formations by producing internal or superficial nodules, microscopical caricatures of the main lichen body, as illustrated below.
ŠUMAR.
Fungal symbionts produce ascospores but they do not initiate independent new growth. Ascospore producing asci are seen here at the central part of the image; at left, aggregations of algae are visible.
ŠUMAR
All these microscopical images are Copyright to the author and are made from the Arctic lichen sample shown above. The histological techniques involved plastic embedding and semi-thin sections as a routine method that we use at the MES Laboratories, Horst, The Netherlands.
.
Can you imagine Arctic travel without meeting the polar bear? Of course not. We only saw stuffed bears, photographed in a restaurant on a hilltop where a constant, freezing wind drove in from the bay in Hammersfest.
The polar bear, Ursus polaris
.
We then arrived at the northern extremity of Europe, the North Cape.
Photographed at 9 o'clock in the evening at the North Cape which is situated on an island recently connected to the mainland by a tunnel. Most people, including me, claim this point to be the northern tip of the European continent but, in fact, the true tip is a few kilometers to the west on the same island.
.
We admired a midnight sun thanks to the inclination of our globe.
At 12 PM or midnight!
.
1 AM. An early hour of a new day at the North Cape.
.
This was thus the ultimate aim of my travel, being at 71° 10' 21'' North.
.
Happily, we encountered no mosquitoes in our travel though we had all the precautions to repel them. So, I bought a gift-pack of mosquitoes for myself!
.
On the way back, we visited the Alta Museum.
Continued on page 2.
Published in the August 2000 edition of Micscape Magazine.
Please report any
Web problems or offer general comments to the Micscape Editor,
via the contact on current Micscape Index.
Micscape is the
on-line monthly magazine of the Microscopy UK web
site at Microscopy-UK