Photomicroscopy with a Nikon Coolpix 990
Digital Camera

by Vishnu V. B Reddy, Alabama, USA

Page one

Page 2
Results

Using the camera settings described on page one the following images (Fig 6-17) are taken at various magnifications. Minimal post exposure image processing is done.


 

Fig 6. Gastric ulcer – biopsy from a patient with a gastric ulcer syndrome (4x objective lens).  Exposure information (EXIF data) is displayed for this image. EXIF data is stored for each image by CP990 as ASCII file (info.txt). This can be retrieved by image archiving programs (e.g. FotoStation, Thumber etc.), and also by any word-processing utilities  (e.g. Microsoft Notepad or Word). 

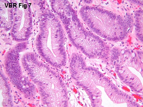
Fig 7. Gastric biopsy from a patient with gastric ulcer syndrome
(20x objective lens).

Fig 8. Gastric biopsy from a patient with gastric ulcer syndrome 
(40x objective lens).

Fig 9. Gastric biopsy with hemorrhage (20x objective).

Fig 10. Carcinoma of the larynx (4x objective).

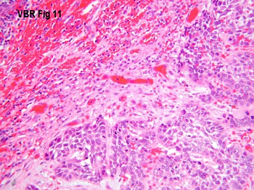
Fig 11. Carcinoma of the larynx (oral cancer) (20x objective).

Fig 12. Gout (Tophus) from should joint (20x objective).

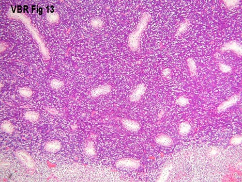
Fig 13. Testis – lymphomatous infiltrates (4x objective).

Fig 14. Bone marrow smear – acute myeloid leukemia with abnormal erythroid precursors (50x oil objective).

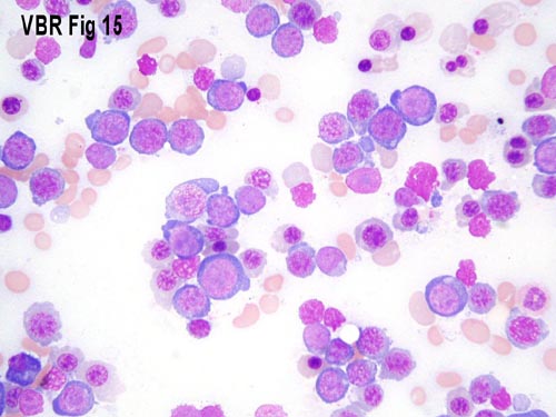
Fig 15. Bone marrow smear – acute myeloid leukemia with abnormal erythroid precursors (50x oil objective).

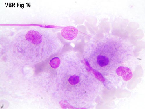
Fig 16. Gaucher cells (congenital storage disease), spleen touch imprint smear (100x oil objective).

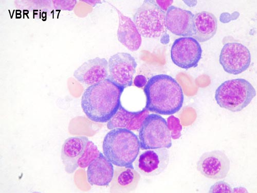
Fig 17. Bone marrow smear – acute myeloid leukemia with abnormal erythroid precursors (100x oil objective).
All comments to the author Comments to the author sent via our contacts page quoting page url plus : ('vreddy','')">Vishnu Reddy are welcomed.

Vishnu V. B Reddy, MD.
University of Alabama Medical Center
Birmingham, AL
USA

Editor's note: Part two of the author's article will be presented next month. It describes an ingenious stand for macroscopy using the Coolpix 990 with and without extra lenses attached.
 
 

Return to page one

Microscopy UK Front Page
Micscape Magazine
Article Library


© Microscopy UK or their contributors.

Published in the August 2001 edition of Micscape Magazine.

Please report any Web problems or offer general comments to the Micscape Editor,
via the contact on current Micscape Index.

Micscape is the on-line monthly magazine of the Microscopy UK web
site at Microscopy-UK



© Onview.net Ltd, Microscopy-UK, and all contributors 1995 onwards. All rights reserved. Main site is at www.microscopy-uk.org.uk with full mirror at www.microscopy-uk.net.



Micscape ran from 1995 and continued until after 2024. The Quekett Microscopical club has agreed with the original owners to become the permanent custodians of the work produced.