Can you help identify this unknown pathogen?

A protist found in the brain of a sick green and gold bell frog tadpole

 

We have recently run this intriguing query on our main Microscopy UK Index but we are also pleased to display it in Micscape this month. If you can offer any help, please contact Rick Speare as suggested below. Thanks!

 

Rick Speare of the School of Public Health and Tropical Medicine, James Cooke University, Australia writes:

I have an image of an unknown pathogen that I would very much appreciate you putting in Micscape for comment by experts. This was made by my colleague and PhD student, Dr Lee Berger. Lee and I work together on amphibian diseases and declining frogs in Australia.

IMAGE DETAILS
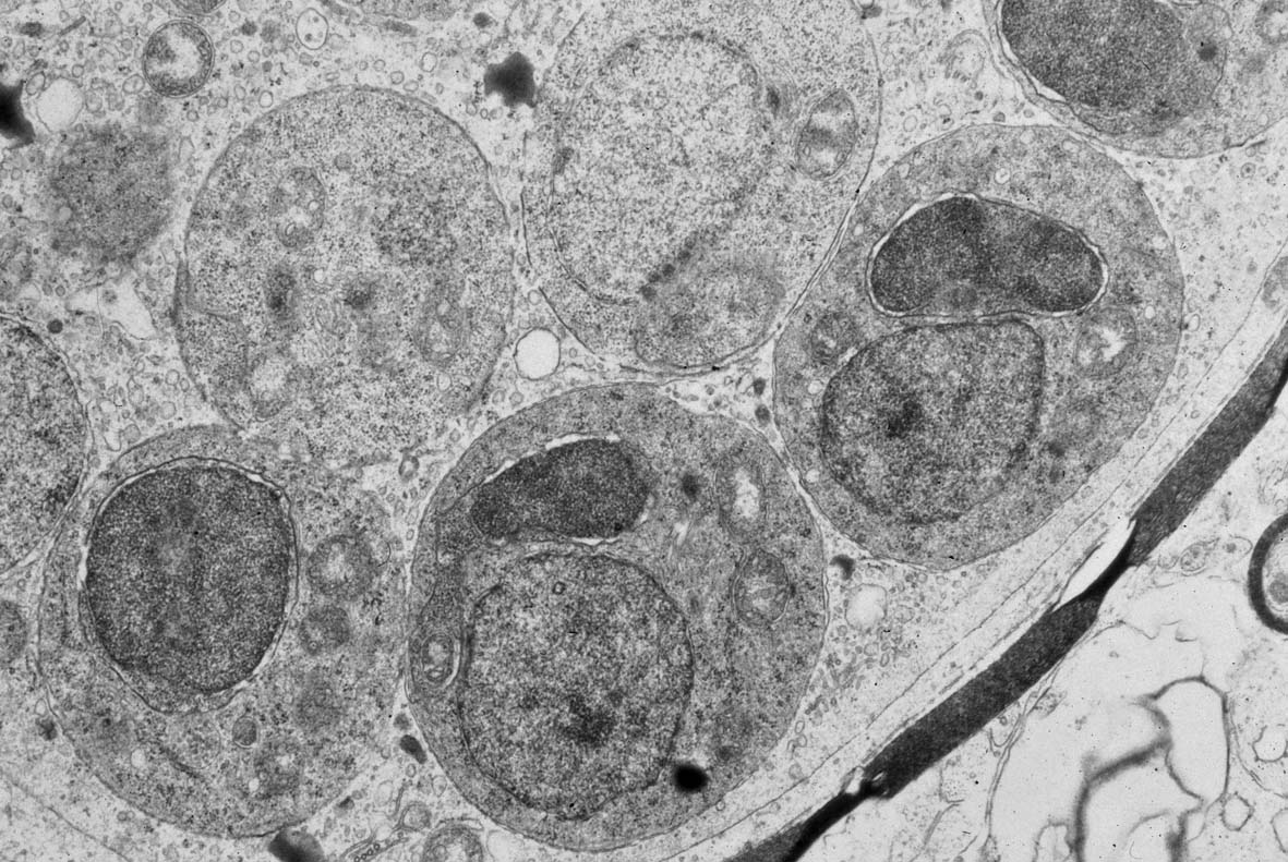
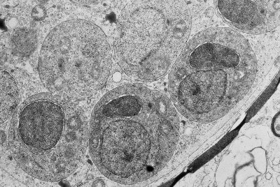
TEM of protist in the brain of a sick green and gold bell frog tadpole, Litoria aurea, from Taronga Zoo, Sydney, Australia.

Click here for 1181x791 pixel 215kByte master image.

Scientist: Dr Lee Berger, CSIRO Australian Animal Health Laboratory, Geelong.

Email lee.berger@dah.csiro.au.

Problem: We have been unable to identify what the microorganism is apart from calling it a "protist". It did appear to be pathogenic to the tadpole.

Questions: Does anyone know what it is? Has anyone seen something similar - even if they do not know the identity?

Regards

Rick Speare
School of Public Health and Tropical Medicine
James Cook University
Townsville
Australia 4811
richard.speare@jcu.edu.au

Visit the amphibian diseases home page at James Cooke University.
http://www.jcu.edu.au/school/phtm/PHTM/frogs/ampdis.htm.

 

Microscopy UK Front Page
Micscape Magazine
Article Library


© Microscopy UK or their contributors.

Published in February 1999 Micscape Magazine.

Please report any Web problems or offer general comments to the Micscape Editor,
via the contact on current Micscape Index.

Micscape is the on-line monthly magazine of the Microscopy UK web
site at Microscopy-UK



© Onview.net Ltd, Microscopy-UK, and all contributors 1995 onwards. All rights reserved. Main site is at www.microscopy-uk.org.uk with full mirror at www.microscopy-uk.net.



Micscape ran from 1995 and continued until after 2024. The Quekett Microscopical club has agreed with the original owners to become the permanent custodians of the work produced.