Preparation of Some Histological Sections of the Earthworm
by Mike Morgan, UK
Further to my article on the dissection of the earthworm I thought I might share some of the sections I have prepared.
The anatomy of the earthworm provides many interesting sections .
When a worm is collected I keep it for a while and feed it on filter paper, which helps remove the soil from its gut. This can play havoc with the microtome knife!
For a straightforward dissection I use immersion in 30% or 50% ethanol; this usually takes 10-15 minutes and specimens euthanised this way die in an extended condition, with the body-wall muscles relaxed and are much easier to dissect.
For examination of the blood vascular system, euthanisation by concentrated chloroform vapour for 10 minutes is preferable.
Sections from various parts of the body are very useful. Blocked in paraffin wax, I cut these at 8 microns, using a rotary microtome.
I find the best adhesive for the sections is Haupt’s Adhesive:
Haupt's adhesive
Dissolve 1 g gelatine in 100 ml water at 30oC. Add 2 g phenol crystals and 15 ml glycerin. Stir, cool and filter.
I then place the sections in a desiccator, which contains formaldehyde vapour, and further helps adhere the sections, if left for 24 hours.
Sections are stained with haematoxylin and eosin.
When examining the sections, it must be remembered that the section may not always be exactly transverse to the body, so the parts will not be completely symmetrical as seen in a textbook.
On account of the thinness of the sections only parts of some structures will be included.
The series of sections shown are a TS of the body at segment 10, which is in the reproductive region and shows the lateral vesiculae seminales and the seminal funnels.

Section 1
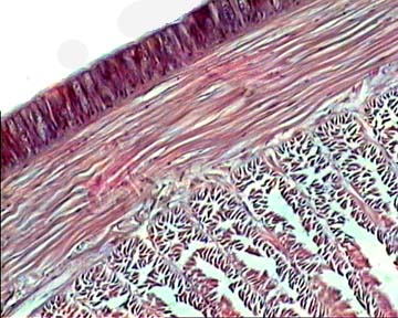
The second shows the body wall consisting of the epithelium, circular muscles and the ‘feathery’ longitudinal muscles.

Section 2
The third section is of the nerve cord. This shows the giant fibre, the lateral fibres, the lateral neural blood vessels and the large sub-neural blood vessel.

Section 3
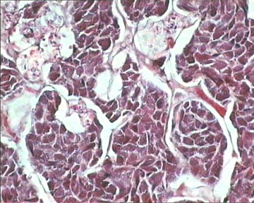
Sections 4 and 5 show the seminal vesicles which are filled with the sperm morulae and spermatozoa.


Sections 4 and 5
Lately, I have been having difficulty in finding decent sized worms in the wild for processing. I have found for mature worms that Blades Biological is a good supplier, with an on-line catalogue: www.blades-bio.co.uk. Either live or preserved specimens are available.
Comments to the author are welcomed.
Published in the June 2011 edition of Micscape.
Please report any Web problems or offer general comments to the Micscape Editor .
Micscape is the on-line monthly magazine of the Microscopy UK web site at Microscopy-UK
©
Onview.net Ltd, Microscopy-UK, and all contributors 1995
onwards. All rights reserved.
Main site is at
* please note that this link is now reduntant. See footer. * www.microscopy-uk.org.uk.