USE of the LOGITECH QUICKCAM PRO 9000

for photomicrography
History of a near-failure, or a semi-success

PART  II

see here for Part I

WALTER  DIONI                                                                                                            CANCÚN, MÉXICO

 

INTRODUCTION

In the first part I gave the reasons why I decided that it was worth testing the Logitech camera for photomicrography, since it showed a good performance on tests as a normal camera. I also indicated why I would use the camera with the technique called "afocal". To convince me of its usefulness and quality, I applied a series of fairly simple tests, since I don't have the slides specially designed to measure the optical behavior of a camera, which the optical professionals use.

Here I review a) the basic tests, b) the method that now seems to me is the best to handle this camera, and c) I summarize the results I obtain in brightfield and the subjects that I consider useful for photomicrography with this installation.

I tried to keep the imagery within customary limits, with most of them in 800 x 600 px format. When there are reductions of bigger photos this is indicated in the caption. Those subjects which should be shown at scale (1:1) are cropped to size 800 x 600 to be presented here without resorting to linked images.

A TEST with the MICROMETER

(4 x, 10 x, 40 x, 100 x) comparison of LOGITECH, with MOTIC , and CANON A300

 

My first test of the photomicrographic quality was to compare pictures of my Leitz stage micrometer.

Fig. 1- micrometer picture

Since I can't display the full 2 mpx images here, nor do I want to overload the article with excessive linked images, I will include first a reduction of a complete photo showing the 2 Mpx sensor as a black rectangle with the 0.8 Mpx Photographic Field (PhF) at its Center (fig. 2; see the first part of this article) and then use crops of 800x600 px PhF at scale 1:1 (maximum rectangular cropping in the circle of the PhF). I have not attempted to reduce these images anymore because they are what really defines the electronic resolution that the camera produces.

Fig. 2. Micrometer scale photographed with the 10x, 0.25NA objective with the Logitech 9000. Full area of the sensor (black rectangle) is 2 Mpx. Utilised area (central disc) is 0.8 Mpx. Reduced from the original 1600x1200 px original.

Fig. 3. The Scale photographed with obj 4x, and the Logitech. Cleaned background.  320 x 480 crop.

Fig 4 - Expanded crop of fig 3.to show clearly the lack of digital resolution of the 10 microns lines of the micrometer scale

Note added March 29th 2010: A correspondent, Denis Fitt, tells me that his 0.8 Mpx camera successfully resolved the 0.01 mm lines of his stage micrometer. I do not have a 0.8 Mpx camera, except the Logitech, so I asked David Walker the favour of an independent test, and I tried to use my Canon set to 1.23 Mpx (1280 x960) and 0.3 Mpx (640x480). 

Both David Walker and I got consistent results.  It is even possible to resolve the 10-micron lines of the micrometer stage at 640x480.

The behavior of the DC-3 is totally understandable given its very low resolution (0.08 Mpx). David and I believe that the lack of resolution on the Logitech (repeatedly tested and always consistent) is because with the 4x objective and 10x eyepiece, the micrometer is not covering sufficient pixels on the colour sensor to resolve the 0.01 mm lines, illustrating the importance of matching the image to the sensor size. A 16x eyepiece improves the image - sensor match and resolves the lines. This is illustrated in the additional Figures 4a, 4b below.


Figure 4a


Figure 4b

Figure 4a and 4b: Leitz 2 mm micrometer scale with 0.01 mm divisions, rephotographed with the Logitech at its 2 Mpixel native resolution using the 4x objective.
Fig. 4a uses a 10x eyepiece as in fig, 3 and shows the full 1:1 crop from master image 
Fig. 4b uses a 16x eyepiece, and again the full 1:1 crop from master image. The lines are now just resolved but notice the false structure in between the lines created by a moiré type effect. This can occur when the subject detail is near to the sensor resolution and could result in false structures being shown of a real subject. A higher objective mag may be needed to clarify what is real detail when photographing an unfamiliar subject. See the micrometer retaken with the 10x objective in Fig. 5 below where there is no such effect and the images shows a clean resolution.
This study suggests that with the 4x objective on my system, at least a 15x eyepiece is required for imaging with the Logitech.

Several microscopists use this camera in which I call "astronomical configuration", basically to record videos. If someone wanted to do this simple test with still images I am very interested in the results.

Several microscopists use this camera in which I call "astronomical configuration", basically to record videos. If someone wanted to do this simple test with still images I am very interested in the results.

 

It is clear that the Logitech, working at this 0.8 Mpx level is unable to resolve the micrometer lines with the 4x objective.  

Although disappointing, this is understandable, since calculations show that at least 1.3 Mpx (60% more pixels) are needed to resolve images with the 4x objective. 

So it must be understood that all images taken with the 4x objective, in this afocal installation will have a resolution much lower than the observed optical resolution when the preparation is seen by eye through the microscope.

Fig. 5 – A cropping at 1:1 of the Logitech image taken with the 10 x objective. It shows clearly a good resolution of the lines on the scale (compare with fig. 2)

I save space by not including images with the 40x and 100x objectives, which show a much better resolution of the scale, of course. 

As a comparison I include an image of the same scale, captured by the objective 4 x, the 10x eyepiece and the 3.2Mpx Canon Powershot A300 camera. Hand held camera.

Fig. 6 - Canon A 300 - Cropping 640 x 480, at scale 1:1, from image of 3.2 Mpx. objective 4x

The Canon with its 3.2 Mpx actually resolves seamlessly the scale projected by the 4x objective.

 

TEST with FIXED PREPARATIONS
Comparing  DC-3 vs Logitech

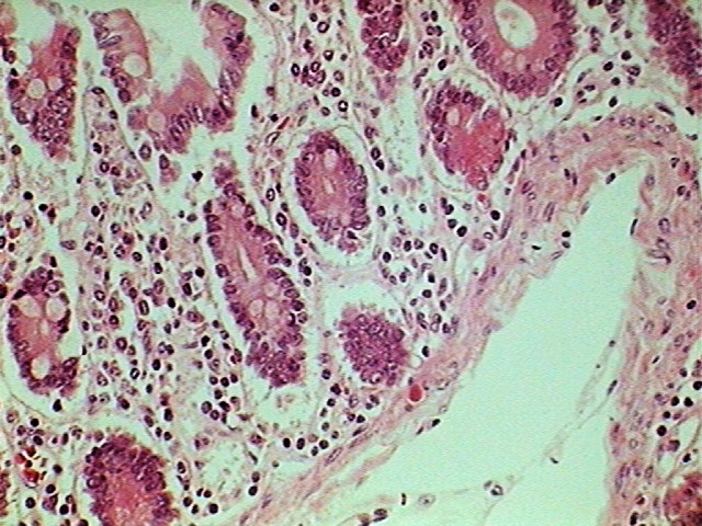
A first test was made on a histological preparation with a duodenum section stained with HE and mounted in Permount. And a comparison made with the DC-3 to assess any improvement.

DC-3. Objective 40x

Fig. 7 – 320x240 px

Fig. 8 - 640 x 480,

 

LOGITECH

 

Fig. 9 – Total field of view (0.8 Mpx) cropped from the 2 Mpx image

 

The logical move would be to use a circular image to display images captured with the microscope. But a custom introduced from the use of the first commercial photographic apparatus is to produce rectangular photos. 

 The format that was common during the twentieth century, 36 x 24mm, has a ratio of 1:1.5. The approach which was achieved with VGA screen formats in computer phototubes (640 x 480) is in the ratio 1:1.33. Successive enlargements of the screen size, have kept this proportion alive up until recently.

Only recently (when new display methods other than cathode ray tubes were invented) have screens appeared for both computer and TV that establishes a new standard,  which allows us to view images in a more elongated form (1:1.6 or even more). See picture 11.

Digital camera makers continue these trends. By now most cameras have a 1:1.33 format

 

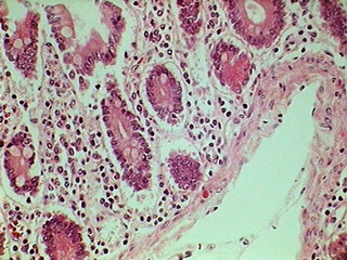
Fig. 10 - 1:1 cropping of the previous image, at 640 x 480 px similar to the size of the DC-3. The Logitech would allow an 800x600 px format, with a more wide FV of course.

Even at the lower resolution, the advantage of the Logitech is evident.

 

NOTES ABOUT “EMPTY MAGNIFICATION”

It is customary to consider microscope magnification "normal" when using a x10 eyepiece. A microscope with the generally used objectives (4x, 10x, 40x and 100xOI) could deliver therefore 40, 100, 400 and 1000 powers. Microscopists can "increase" power using 15x or 20x eyepieces. However, all microscopy treatises emphasize that the additional achieved increase is "empty magnification". The image resolution provided by the microscope optics is fixed, as is stressed and it is true, by the Numerical Aperture of the objective. The eyepiece increase does not add any additional NEW structural detail. Just what was formerly seen with the 10x, is now seen larger.

Clearly, a fortiori the same constraints apply for the digital magnification. With the aggravating factor that careless image increases increase the risk of pixellation, worsening the view of the subject details.

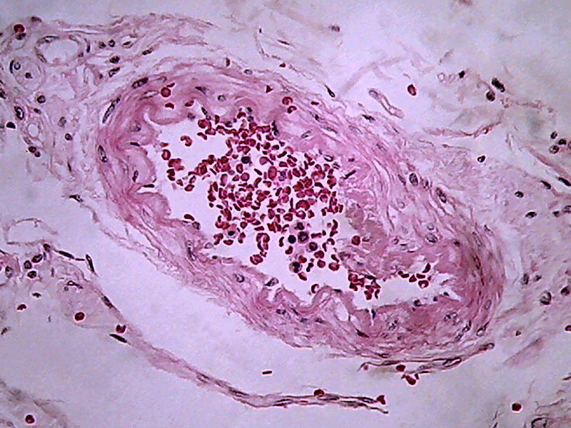
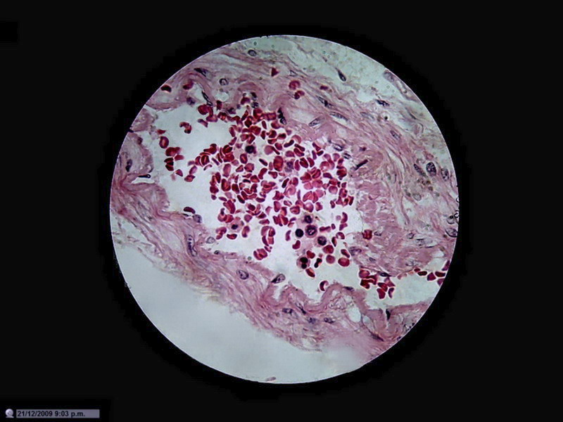
The theme was tested by taking images of the same subject (in this case an arteriole filled with blood) and photographing it with a variety of image sizes, either at the native size (for the camera in normal configuration) or in upsized  versions using external resizing software. It will be used again the image of the arteriole, as it is convenient.

Optics used in all cases was the 40x (0.65 NA) objective, with the 10x eyepiece.

Fig. 12 - DC-3 – 320x240 Original

Fig. 13 - DC-3 –  640 x 480 delivered image

Fig. 14 - Logitech - 800x 600, 1:1 clipping, of the 0.8 Mpx original

 

From my point of view, in a large percentage of images the information captured by the 40x/10x optical combination, particularly the ease of visual extraction of that information, clearly increases from the DC3 0.08 Mpx’s up to the Logitech  0.8 Mpx’s.

The next two images offer a special vision of the subject. The first (fig 15) is a reduction of the original 2 Mpx, showing the field of 0.8 Mpx with the image provided by the 100xOI objective of a significant section of the arteriole,of fig 14 from which a central crop (fig 16) was taken .

Fig. 15 - Logitech - Objective 100XOI (N.A 1.25) with the eyepiece 10X, reduced from the original of 1600x1200
 - click the image to see the full sized image

 

 

Fig. 16 - 100xOI, no zoom, no post-processing, clip from the 2 Mpx image (0.8 Mpx PhF)

 

There is a qualitative leap in using 100xOI with numerical aperture 1.25 objective, with double immersion , in combination with the 10x eyepiece. The cropping of 800 x 600 gives of course better information providing a more clear image, with good size.

My conclusion, I think my readers will share (if anyone is still supporting these articles) was that the Logitech is a very valuable tool even if it must be used (as it is here) only as a camera of 0.8 Mpx of digital resolution.

 

 USEFUL TECHNIQUES AND LIMITATIONS

The following are the working techniques I adopted, and some comments on their use and limitations. Some of the latter do not seem to be easily corrected, and several are shared by other so-called Microcular cameras, according to the responses I've received to consultations I've had with some users.

BRIGHTFIELD

Of course this is the normal method of work for those who do not have microscopes equipped with Zernike’s phase contrast, or N-DIC (Nomarski Differential Interference Contrast).

     The first limitation, which can easily be overcome by making some concessions to the orthodox practice, is lighting. The user should waive Köhler illumination. Critical illumination can be established, within the capabilities of the webcam. Perhaps this conclusion can not be generalized. Other webcams can have different behavior.

 Previous examples of Logitech pictures were taken under the conditions detailed below.

 

MICROSCOPE

1)   The first rule is to have the microscope optics extremely clean. In the light pathare the frontal lens of the lamp, didymium filter, condenser, sub-stage filters if used, the preparation slide itself, the objective of the microscope, the prisms of the binocular head, the eyepiece, and the camera lens. Any particle on these surfaces casts shadows in the image’s background. The Logitech has a depth of field slightly larger than normal cameras, it reviews, detects, and displays cruelly, any dirt on the front lens of the eyepiece for example. Any insistence on this issue (valid for all photomicrography, with any camera) is justified. A digital method of disposal (where possible) of these shadows of the background has been added in a Topical Tip ("Amalgamation") in the last MICSCAPE issue. It is not a panacea, but it helps.

2)   Always use absolutely clean slides and coverslips. This will prevent to a good degree the often necessary, always annoying, and sometimes difficult, cleaning of the background of images

3)   Install a didymium filter on the lamp of the microscope (or use LEDS, if you can accept a something more "cold" lighting)

4)   Center the best you can do the lamp of the microscope. 

5)   Optimize the microscope illumination (as close as possible to “Köhler” illumination, or “critical” illumination) before starting work. I usually do this only twice a day.

6)   Use the maximum lighting power compatible with good resolution. Dim light produces images with much noise.

7)   Before using the camera for the first time parfocalize-it with the microscope. It's easy, but you only need to do that approximately, because you can actually focus on the computer screen. With the x 10 objective, and observing by the eyepiece, focus on the preparation. Install the camera. Open the control panel. Be sure that the autofocus is disabled. Ensure that the conditions of color and contrast are the best possible. Now move the camera slowly and gently, until the preparation seems correctly focused on the screen. Lock the camera in that position. Parfocalization is only suitable for control of the quality of the optical image through the second ocular of the microscope. (But typically, once made the initial focus with the microscope, the rest of the work is done directly on the screen.)

CAMERA - Capture  System

Fig 17 - To the right of "desktop" is the vertical command bar of the camera. The commands usable for the photomicrographic work are the first (an icon with 2 overlapping frames), which displays the viewer when clicked on, and the fourth (a 2-gear icon) which open the capture tools dialog box.

 The capture software is extremely easy and convenient to use. You have a great Viewer which on my screen measures 20 x 27 cm (approximately 8"x 10.5", a big difference to the capture screen of the DC-3) and registers both still photos and start logging videos (to three different sizes including HD 960 x 720) with just a click on one of two adjacent buttons located under the viewfinder. Just under the lower right angle of the Viewer, is the command that allows the rapid change of capture sizes. The first task is to select which options will be used for immediate work.

Movies can be taken even to 1600 x 1200 px but if the objective is the publication on the network they must be limited to 640 or smaller sizes due to the file size in MB that is quickly reached for a few seconds video. Below the command buttons, is the "images ribbon" containing a "thumbnail image” of captured pictures. The last captured image appears to the left on the ribbon.

 With a click on one of the two icons located below and to the left of the Visor you can toggle between showing the “captured images ribbon”, and a ribbon showing the registered videos. 

 The 3 icons to the right of the foot of the “ribbon” manage images processing when you work online (sending by e-mail, print, or discard)

 

Fig. 18. The viewer with deployed control box.

 

Fig. 19 - Controls are contained in three easily accessible boxes.

 Start by selecting the second control screen (click the third icon from the left bar in the box, which will be highlighted) and disable automatic exposure setting. If enabled it would produce more problems than it solves. Go now to the 1st. control screen clicking the 1st. icon in the sidebar. When the screen box deploys it is convenient to start with the default settings. Put Zoom to 0, the focus will be on “automatic” and the cursor will move, stop when a focus point is reached. Lock it by clicking "manual focusing". It can be the intended focus or not. In the latter case the focus can be later refined.

The white balance will be set to automatic. Once it stops, when an automatic selection is achieved, fix it by disabling the corresponding box. If it seems appropriate, correct brightness, color, and contrast.

Now set the zoom to at least 50 % and sharpen the image desired focus using the microscope. Return to 0 zoom. Take a first control picture.

If the subject requires it, and suits the purpose of the picture, zooming to the desired scale can be tested, always checking carefully the focus. It is likely that in most cases it can accept a zoom up to 1200 pixels (The Photographic Field will have a diameter equal to the height of the sensor), or even something more than 1300 px. Thinner subjects, with fine details and good contrast will be the most appropriate.

The “control screen” can now be closed or left open at will, but the rest of the work continues on the monitor screen as seen above.

All still images presented earlier have been taken in bright field.

With a large capture size selected (1.3 Mpx upwards) the picturess are not recorded instantly as with the DC3 software, but a second later, which is a serious problem to manually register a short series of still photos of mobile objects. This will be examined in a later section.

The procedure I have adopted to use the camera is as follows:

1) The camera produces only .jpg files. Set the capture quality to 100%. A click on the arrow to the right edge of the "Capture Image" button, opens a dialog box, select 100% quality.
2) Use neutral density filters to adjust lighting. To decrease the voltage changes the color temperature. Verify that the intensity of light is correct. If the light is insufficient the image background shows micro-fluctuations of the light, which translate as pixellation. Pay close attention and increase the light until it sets.
3) Adjust the capture parameters with the camera software.

4) You can take snapshots, especially with stationary objects. A picture of 2 Mpx requires a second to register. At 960 x 720 registration is a few tenths of a second. Remember that "2 Mpx" really means an 800x600 picture (if it is not zoomed)
5) However, to use with Combine Z, and especially with moving objects, it might be better to take a High Resolution (960 x 720) video. I've made even acceptable ones, at 10 fps, with a size of 1600x1200.

 

UTILITY OF DIFFERENT SIZES OF CAPTURE

ENLARGEMENT TECHNIQUES

Just like the DC-3, this camera provides automatically (if it were so programmed) images expanded by its internal software (DIGITAL zoom).

 If you were using an OPTICAL zoom, the images would be all 1600 x 1200px, but the inner circle would gradually cover the surface of the sensor as it uses more and more of its capacity, as in any "consumer’s camera”.

 What actually happens with the Logitech when set to capture 3, 4 and 8 MPX, is that it produces larger and larger pictures but with the same real use of the sensor surface (the circle in the center).

 While in the preliminary test (see first part) a 4 Mpx size was at least very acceptable, and 8 Mpx tolerable, not always the same thing happens with the pictures obtained with the microscope. The outcome depends heavily on the structure, texture, and the thickness of the subject. Many times the size of 3 Mpx can be tolerated, but the 4 Mpx is always visibly inferior.

 The application of external resizing software with algorithms such as bicubic or Lanczos mimics exactly the same function. Several articles on the subject advise upgrading in successive stages (5 to 10 stages). Of course this takes more time than the internal zooming of the Logitech. But the amateurs are not part of a commercial production chain. You can try what you have at your reach and choose.

However, the camera has a misleading tool in the capture control box, and it is the digital zoom. When you apply it, the registered picture (total image of the sensor) is always 1600 x 1200. But the inner circle will grow, and gradually occupy the area of the rectangle mimicking an optical zoom. As it is a digital zoom, the effect on the image is the same as to resize the captured image or select a Logitech bigger size image. The only difference is that with the zoom you can resize much more gradually. You can get upgrades from 25 to 100 % in very small steps. However, a digital zoom of 50 % is equivalent to the 3 Mpx capture size. It is wise to keep below this limit. According to the texture and color of the subject, the microscopist must monitor the quality of the image.

 THE ON SCREEN EFFECT OF DIGITAL ZOOM

Figure 20

The first six pictures (a to f) were obtained by changing the Size Selector (in the Capture Screen) to get pictures of 2 Mpx (1600x1200) and gradually sliding the zoom cursor (Command Box 1) to increase the apparent size of the picture. Of course all the pictures have the same optical resolution (corresponding to the 10x objective (NA 0.25) through which they were taken). The first image covers exactly the corresponding 0.8 mpx. The following pictures appear to be gradually covering the sensor. However, since the camera lens has still exclusively 3.7 mm focal length, and this is not variable, the pictures are just an augmentation of the first digital photo, all included in a framework limited to 1600 x 1200 px.

To make visible the process explained above, I reduced the pictures to include them in the table. That's cheating on the quality of the reduced images, which seem to have all a good digital resolution.
Pictures
7 and 8 are 1:1 crops of the 1st. picture (not zoomed), and of the 6th. picture (total coverage zoom) respectively. In this case the highest zoom produces a disastrous effect. The pixellation destroys all significant detail of the 0.8 Mpx. It's not worth it to use the zoom to that power.

 

Fig. 21 - The above image is a crop to 800 x 600 of the first image of picture 20 (0.8 Mpx. without Zoom) that as can be seen (and understandably) covers the same Visual Field that the photo with the maximum zoom, but is of acceptable quality, and of a size suitable for normal publication online. However it should be noted that spiral thin lines of the subject shows a stepped line (aliasing) that I could not remove by any technique at my fingertip.

 An ACDSee resize, using the included Lanczos algorithm, can reach a maximum upsizing from 800x600 to 1600x 1200 (100% linear, 400% surface) with fairly good quality, but the success, using both a bicubic algorithm like those in Photoshop, or the ACDSee Lanczos, strongly depends on the texture and color of the subject.

 

Figure 22 - Image of the entire sensor with 1200 px diameter circle (1.3 mpx surface), which is already a zoom of 20% over the normal circle of diameter 1000 px (0.8 Mpx). 10x Objective. Blood vessel in the duodenum section. Reduced to 800x600px

 Not that I have an obsession with blood vessels, but the presence of many small discrete objects of strong color and net shape make them suitable for these tests.

Figure 23 - 1:1 Crop, 800 x 600 px, cut from the center of the original of above image . The maximum rectangle inscribed in the circle of pict 22 (original) would be one of 1000 x 750 px.

Fig. 24. Previous image was expanded with Lanczos in 10 successive steps from 800 x 600 to 1600x 1200, and, then, trimmed again to 800 x 600 for inclusion here.  No further treatment except resizing

Fig. 25 - This is a diagram of the process I applied to obtain pict. 24, here represented by the orange rectangle at right

 

The choice of the enlargement method, if this seems desirable to apply, depends therefore on the subject. We must experience which option gives better results. 

HOWEVER AND WHENEVER POSSIBLE, IT IS BETTER TO REMEMBER THAT THE MICROSCOPE HAS SEVERAL OBJECTIVES.

The best enlargement, because it is the product of the best optics with appropriate NA, is provided by the microscope. While "empty enlargement" may have a lot of sense, as we saw earlier, it’s better not to abuse of it.

Reduction of noise and moiré.

Taking pictures in light-limiting conditions, especially, generates images with "dust" or "noise". All image processing software have commands to remove noise. But even if they could be tested, if there is no other option, to select the best available, none has worked so well for me as the free NetImage Demo.

Apart from the noise the other major annoyances are the “aliasing” and "moiré" (pronounced "more-ay"). (usually there is a "remove moiré" in the "Effects" menu of the Pictures Editors)

If this sounds unfamiliar to someone (which seems difficult in this era of digital image processing) they can use these link to better understand the picture problems and the picture enhancement techniques

  http://www.cambridgeincolour.com/tutorials.htm

 

THE DEPTH OF FIELD

 A concern of any photomicrographist is that the subjects under observation have thickness (sometimes important), and the FIELD of VIEW has in turn its own thickness "Depth of Field" (more, equal to, or less than the subject as is the case). And, also, each objective has a "Depth of Focus", i.e. you can directly browse a slice of the environment (or the subject) which has only a limited depth.

It is known that the microscopist overcomes both problems because it has the tool of manual "Focus adjustment" and the mental capacity to synthesize his data conceptually quickly and efficiently, while exploring the different levels. The process is highly unconscious, and the microscopist thus acquires their notion of the spatial structure of their subjects under observation.

But when you take a picture this will only cover the Depth of Focus. The rest, above or below, will be blurred.

In recent years several digital programs have tried to solve the problem, "adding" the well focused parts on each of a series of successive planes, recorded by the camera as separate images. I use, because of its effectiveness, and the constant support offered by its designer, Alan Hadley, against every difficulty find by anyone, the CombineZP software, which is also free. The following is an image reconstructed from the amalgamation of pictures of an area near to the joint of the wing of a fly.

Figure 26 – Wing of  "Musca domestica”. Stack of 5 images amalgamated with CombineZP.  Without post-processing.

Figure 27First picture in stack

Figure 28Last picture in stack

                                                                                                          

 

CONCLUSIONS

One of the nice features of this camera is that, even with low light intensities (and even disabling the Right Light control, which generally only produces problems) the sensor has sensitivity enough to record images with all objectives of the system, including the immersion 100xOI objective.


In principle we can say that the camera will be useful for bright field microscopy, for any fixed and mounted subject in a thin preparation. Even with the afocal techique, and certainly better if used with an appropiate relay lens to allow a full coverage of the sensor. Bacteria, hematology, animal and plant histology, and any other microscope slide (the so-called "permanent preparations" of any type, eg micro-arthropods or arthropod parts).

Other appropriate subjects include foraminifera, radiolaria, desmideacea, filamentous algae, many chloroficean and cyanobacteria, entomostraca, hidracarina, tardigrades, slow moving worms, and any other microinvertebrate that could be anesthetized or fixed with appearance of life; Monogononta rotifers which can be clasified contracted, probably tecamebae even alive, and all protozoa that can be numb or fixed with vital appearance. 

Review my article on using the diluted formol to stop or at least slow down the microinvertebrates for this purpose, in order to understand the technique.

http://www.microscopy-uk.org.uk/mag/artjul02/wdrelax.html

Olivier Barth (in some postings on the Forum Mikroscopia and in Photomicrography) states that he uses Lugol for the same purpose and seemingly with the same technique. This option is preferable because it is much less toxic than formaldehyde (and Lugol is probably easier to get)

In the article - Part 3: Technical notes for the collection and study methods for bdelloid rotifers (and other aquatic microinvertebrates) - there is an overview of many anaesthetics that can be tested on all microinvertebrates.

http://www.microscopy-uk.org.uk/mag/artnov08/wd-rotifer3.html

Unfortunately for me, and other microscopists, with the same or similar equipment, the bdelloids, many protozoa, and the micro turbellaria, which are restless and almost impossible to anesthetize, remain intractable subjects with these types of cameras. We must wait to be able to install a flash to stop their elegant evolutions.

 

The third part of this article will describe the result of using some different lighting techniques with the Logitech; the use of the camera to photograph living subjects; and the posibility to make videos at various alternative sizes

 

 

Comments to the author, Walter  Dioni , are welcomed.

Micscape Magazine
Article Library
Microscopy UK Front Page

 


© Microscopy UK or their contributors.

Published in the March 2010 edition of Micscape.

Please report any Web problems or offer general comments to the Micscape Editor.

Micscape is the on-line monthly magazine of the Microscopy UK web
site at
Microscopy-UK


© Onview.net Ltd, Microscopy-UK, and all contributors 1995 onwards. All rights reserved.

 

 



Micscape ran from 1995 and continued until after 2024. The Quekett Microscopical club has agreed with the original owners to become the permanent custodians of the work produced.