MICSCAPE
(ISSN 1365 - 070x)

Exploring the miniature world
 
Issue 64: February 2001.
Next update March 13th.

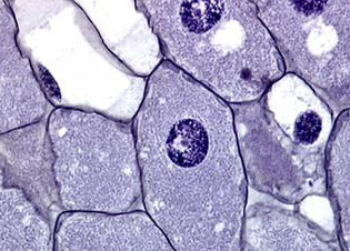
(Image right by M Halit Umar: Invasion of broad bean root cells
by rhizobial bacteria. These bacteria have the vital ability
to fix nitrogen. See article below.)

  indfeb01.jpg (34689 bytes)
Objective 40x. Crystal violet stain.
Cells 100 to 200 µm in diameter.

 

 

Microscopy-UK welcomes you to
Micscape Magazine
 

This magazine is best viewed at 1024x768, 24 bit colour.

About Micscape

 

 

 

Issue 64 - Febuary 2001 : Articles this month

Microscopy-UK Menu
  Home 
  Projects 
  Beginners
  Clubs
  Movies
  3D Images
   Schools
   'Microflowers'
   Pond life ID kit
   Main Shop


Mic-UK Newsletter Join our mailing list! Enter your e-mail address below, then click the button...   

Subscribe  
Unsubscribe
Powered by ListBot 

  
Contacts
Micscape Editor:
Dave Walker
Comments on Micscape and contributions welcomed.

Microscopy-UK parent site coordinator:
Maurice Smith molcol@onview.net

 

 

Rhizobial symbiosis - M. Halit Umar (the Netherlands) continues his fascinating look at examples of symbiosis;  this month the microstructure of the nitrogen fixing nodules on some plant roots is illustrated with notes on how they can be studied.

Seven spot ladybird surveys: An update - in 1998 Irene Geoghegan (Scotland) highlighted the potential threat a parasitic wasp is having on the seven spot ladybird population in Scotland. In this update the author summarises her 1998 - 2000 survey results in this suite compiled by Anne Bruce (Scotland). Includes details of a competition for Scottish school children.

Hunting micro-aliens: The first voyage - Richard Howey (USA) invites the reader to don their scuba gear, and after visiting Prof. Moriarty's resizing lab, explore as a micronaut the frightening world of micro-aliens in a freshwater pond. Illustrated with images by Micscape contributors.

Crystal image gallery - James Evarts (USA) shows how the same crystals prepared under different conditions can exhibit a colourful variety of forms when viewed between crossed polar filters.

Filter holders, filters and more filter holders - often more than one filter needs to be used at a time with a microscope, but the condenser filter tray usually holds only one. Rosemarie Arbur (USA) describes some simple practical projects to solve this.

A desmid of the genus Euastrum; rare in Britain - Bill Ells (England) notes that a rare desmid illustrated on a 1904 book plate can still be found in the same Scottish Loch; and wonders if the desmid occurs more widely.

The earthworm: Chaetae -  Mike Morgan (England) describes how to prepare the stiff bristles of the earthworm during an earthworm dissection, for study under the microscope; with notes on their importance for earthworm locomotion and reproduction.

Polarised oblique lighting - Paul James (Wales) shows how combining two lighting techniques can be useful for studying some subjects under the microscope as well as showing them in an attractive way.

Video gallery: Time-lapse of crystal motion in the desmid Closterium - Jean-Marie Cavanihac (France) shares some intriguing animations of the crystals found in the cell tips of this desmid.

A virtual pond dip - a fun page for the beginner to learn about some typical smaller pond critters. Compiled by Wim van Egmond (the Netherlands) and Dave Walker (England), with links to contributors' articles.

If you wish to contact an author please use the e-mail links in each article. Feedback is always appreciated! General comments and critique on Micscape can be sent to the Micscape Editor, Dave Walker .

 

We are delighted to receive contributions small or large from microscopy enthusiasts. If you have an image, tip or article, why not share it, this magazine is what you make it! Have a chat with us, to see how we can help share your interests.

Micscape Article Library and hosted search facilities

Look for that elusive image or article on our site 
Manual Search  (category search in our new extensively revised listing) 
Automated Search
(keyword search)

Or search britannica.com's on-line resources including 'Enyclopaedia Britannica' without leaving this site! See box left. (This facility is offered as a benefit of Micscape's 'Britannica Internet Guide Award'.)

News - special notices - misc.

The 2001 Syllabus of the Kernow Microscopical Society (Cornwall, England) has been kindly supplied by Mike Morgan and is located here.

The Eastern Counties Microscopy Study Group are holding a 'do-it-yourself' based microscopy weekend at Belstead House, Ipswich, UK on March 9th - 11th 2001. Click here for details of the course and booking form. Information kindly supplied by Ernie Ives.

Advance notice of a microscopy meeting in the UK: The Frank Rowntree meeting is held by Leeds Microscopical Society. It will be at its usual venue in Morley near Leeds on Sat. 2nd June 2001. For details and registration forms people should send an sae, to Mike Smith, 10 Moor Allerton Crescent, Leeds LS176SH, or e-mail Mike in the UK.

Microscopy-UK and Micscape - established 1995

  Copyright ©1995 - 2000, Microscopy-UK and Onview.net Ltd. Articles and material are copyright of our contributors. Micscape is a free magazine for enthusiasts funded by Microscopy-UK and dedicated to non-commercial microscopy.  



Micscape ran from 1995 and continued until after 2024. The Quekett Microscopical club has agreed with the original owners to become the permanent custodians of the work produced.