MICSCAPE - Exploring the miniature world

Issue 329: August 2023 (ISSN 1365 - 070x)      Monthly, next issue September 13th 2023.

 

Contact Microscopy-UK co-webmasters,
please use this link or the green email button on the top menu.

Please do not contact the above for image permissions. Each article contributor retains the copyright to their material so should be contacted directly via the link in the relevant article. Thank you.

Comments on Micscape and contributions welcomed.
Contributions: Any modern format welcomed i.e. pdf. doc/docx with embedded images, or html + jpegs.

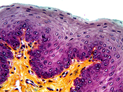
An introduction to histology and pathology slides - Ed Ward (USA) shares an extensive 51 page illustrated survey of commercial and pre-prepared slides and what they can reveal. PDF

Invertebrate Weapons: Part 1: Protists - Richard L. Howey (USA) shares an essay on the variety of weapons adopted.

DIY pond habitat - Christian Autotte (Canada) shares his building project and early inhabitants. PDF

A comparison of two different star LED’s in the LOMO OI – 19 illuminator - David Stephens (UK) updates an earlier project. PDF

The cyst in a cyst - Euglypha acanthophora - Hans Rothauscher (Germany) describes and illustrates this protist. PDF

Review of the IQCREW inverted microscope - Bill Resch (USA) shares a review of this educational inverted microscope for youngsters. PDF

A simple Roatan realization - G. Joseph Wilhelm (Honduras) continues his reports on settling in after retirement on the island of Roatan. PDF

Actinotrocha larva of Phoronida worm - Jean-Marie Cavanihac (France) describes and illustrates this marine organism. PDF

Exploring the Diatom Lab 'Microscope Test Slide in Commemoration of Edmund J. Spitta' with near UV - David Walker (UK) illustrates the simple filter addition to 100W halogen stands to exploit 400 nm using this test slide for example images.


    In Focus:
    Hamish MacPherson writes: A contemporary photography exhibition by Hamish MacPherson, Christopher Wren: What Legacy Now?, draws attention to eight remarkable people continuing Sir Christopher Wren’s different legacies today, three hundred years after Wren's death. One of these is Dr Lucy Collinson is Head of Electron Microscopy at the Francis Crick Institute.

Although best known as England’s greatest architect, Christopher Wren was engaged in a wide range of scientific and social questions throughout his life. For example, Wren had been fascinated by microscopes from his early twenties and, in 1661, he even impressed King Charles II with magnified drawings of fleas and lice. The King asked for more and Wren persuaded his associate Robert Hooke to continue the work. Hooke’s ‘Micrographia’, published in 1665, included 38 illustrations of insects and plants magnified up to 50 times. 

The large-scale, ethereal portraits in the exhibition will be on free display at the Old Royal Naval College London, capturing the diverse range of interest Wren had through a modern-day lens. The photographs were created using a flatbed scanner, which creates a mysterious visual quality, highlighting these contemporary figures who have their own shifting legacies across the subjects and fields that Wren himself was interested in and worked in. 



Microscopy-UK website: Mol Smith, the site owner and co-webmaster writes: We are introducing translations here on our site.  To gain translations, click on your flag now, and then the MENU button above and just below the flags. Select options from this area to navigate our site. We cannot translate every page. Did we miss your country out? Let us know via our contact page and we'll include it. Contact us here!

Mol does a lot of unsung work behind the scenes keeping this now very large and complex website running. Updating the Search engine has recently been a challenge due to the size of the database but his persistence has paid off, thank you Mol! David Walker, Micscape editor.


    We are delighted to receive contributions small or large from microscopy enthusiasts whether a novice or expert. If you have an image, tip or article, why not share it, this magazine is what you make it!

     

Archive
Look for that elusive article on our site:
Micscape Magazine past issues online
(read articles online using the original illustrated index for each month).
Article Library (browse articles by category)
Automated Search (a search engine for keyword searches in all articles)
Contributor index (a list of all Micscape contributors to date)
News - special notices - misc.


External links. Updated April 2020. Below are some of our favourites, which includes sites with extensive links and/or resources for the optical microscopy enthusiast.

External Microscopy forums: Places to discuss the hobby or to raise queries.
www.photomacrography.net
forums, galleries, articles on macroscopy and photomicrography.

groups.io (formerly Yahoo groups):
Amateur Microscopy
Diatom Forum
Microscopy as a hobby or profession
Wild Microscopes

Facebook groups:
Amateur Microscopy (>21000 members, very active). Also specialist groups e.g. for users of given maker's microscopes (e.g. Zeiss, Olympus, Wild, Vickers). Also try a Facebook Group search with keywords like microscope or microscopy to find these.

Other:
Microbe hunter the website ably run by Oliver Kim has built up a popular and valuable forum with help for both the beginner and more advanced user.

Listservers:
Algae-L
'Forum for marine, freshwater and terrestrial algae'. Access to Archives possible for non-subscribers.
Diatom-L 'Research on the diatom algae.' Access to Archives for subscribers only. Link was current March 2016. Many online diatom resources point to an outdated Indiana Univ. listserver. (With thanks to Rob Kimmich for the current link.)

Mikroskopie-Treff.de (Extensive German microscopy forum; some English categories.)
Mikrobiologische Vereinigung München e. V. Wide range of articles and resources in German.
Le Naturaliste French based forum and image gallery for micro / macro but open to non French speaking international contributors.

The Amateur Diatomist archive This magazine resource ably created and administered by Steve Gill has now been ported to the Microscopy-UK site with Steve's permission as the former host server is now not available.
As well as all the issues in pdf format there are a wealth of other resources in the Downloads section including by noted workers such as Barber and the complete 532 page book 'An Introduction to the Microscopical Study of Diatoms' by Robert B. McLaughlin.

Diatoms of the Arid South West Originally hosted on the website of New Mexico State University, College of Agricultural, Consumer and Environmental Services. Archived with permission from Dave Richman, resource editor, and C. Scott Bundy of the NMSU.

Other sites (also see Societies and Clubs page.)
Royal Microscopy Society Journal, 'infocus' and other resources for members and the community.
Quekett Microscopical Club Journal, Bulletin and meetings for members.
Light Microscopy Forum links and articles
Little Imp Publications public domain books collated by Steve Gill formerly on CD and now free on Micscape.
Mikroskop Museum German website with resources on microscopes / makers .
Molecular Expressions awesome optical microscopy resources
Dennis Kunkel's SEM images stunning images
Diatoms Ireland - resource site by Leszek Wolnik
Leitz museum an illustrated resource compiled by Robert Allen
Microbe hunter microscopy enthusiast website, forum and magazine edited by Oliver Kim
Microscopies online magazine and Forum for French speakers
Micrographia articles, projects for the enthusiast
Microscopy Today
journal with online archive
Modern Microscopy
online journal by McCrone Group
Fun Science Gallery projects, articles on optics in English and Italian.
Independent Generation of Research (IGoR) - Wiki style resource for citizen scientists to share their work.
Lens On Leeuwenhoek - extensive resource online by Douglas Anderson
Collected Letters of Antoni van Leeuwenhoek ('Alle de Brieven ..') transcribed and free online at DBNL.
A Cabinet of Curiosities a resource on Victorian microscope slides by Howard Lynk
'Diatoms Ireland' resource by Leszek Wolnik
Historical makers of microscopes and microscope slides Brian Stevenson's extensive resource .
Victorian slide makers
Cambridge rocking microtome resources including manual
www.willemsmicroscope.com Dutch enthusiast Willem Cramer's website
David Jackson's Better Microscopy blog. Regularly updated free resources extending from his 'Better Microscopy' series of books.
Stefano Barone's Diatom Shop
sale of his own prepared and arranged slides of diatoms, radiolaria, forams and scales.
www.testslides.com website devoted to Stefano Barone's Diatom Lab test slides.
Darwin Biological a UK company for 'biological education' supplies. Including live cultures of protozoa and algae.
Microscopie van de Natuur Dutch microscopy resource site by Rolf Vossen.
 

Microscopy-UK
parent site coordinator:
Maurice Smith


Microscopy-UK and Micscape - established 1995
Micscape is a free magazine for enthusiasts funded by Microscopy-UK and dedicated to non-commercial microscopy.
© Onview.net Ltd, Microscopy-UK, and all contributors 1995 onwards. All rights reserved. Main site is at www.microscopy-uk.org.uk


Micscape ran from 1995 and continued until after 2024. The Quekett Microscopical club has agreed with the original owners to become the permanent custodians of the work produced.